لیفت لثه و طراحی لبخند از جمله روش های زیبایی دندانپزشکی است که به بهبود ظاهر لبخند افراد کمک میکند. لیفت لثه، با برداشتن بخش های اضافی از لثه، باعث می شود که دندانها بیشتر و زیباتر نمایان شوند. این روش نه تنها در بهبود نمای دندانها مؤثر است بلکه در اصلاح مشکلات لثه ای و ایجاد هماهنگی در طراحی لبخند نیز کاربرد دارد. طراحی لبخند با بهره گیری از فناوری های مدرن دندانپزشکی، به طور دقیق و هنرمندانه بر اساس ویژگی های چهره هر فرد انجام میشود.
با استفاده از تکنیک های پیشرفته در لیفت لثه و طراحی لبخند، می توان فرم لبخند را به گونه ای بهبود بخشید که کاملاً طبیعی و هماهنگ با دیگر ویژگی های صورت باشد. این درمانها به افراد اعتماد به نفس بیشتری میدهند و باعث ایجاد لبخندی جذاب و دلنشین میشوند. طراحی لبخند به کمک لیفت لثه، در واقع ترکیبی از هنر و علم است که تأثیر زیادی بر زیبایی و رضایت کلی فرد از لبخند خود دارد.
لیفت لثه چیست؟
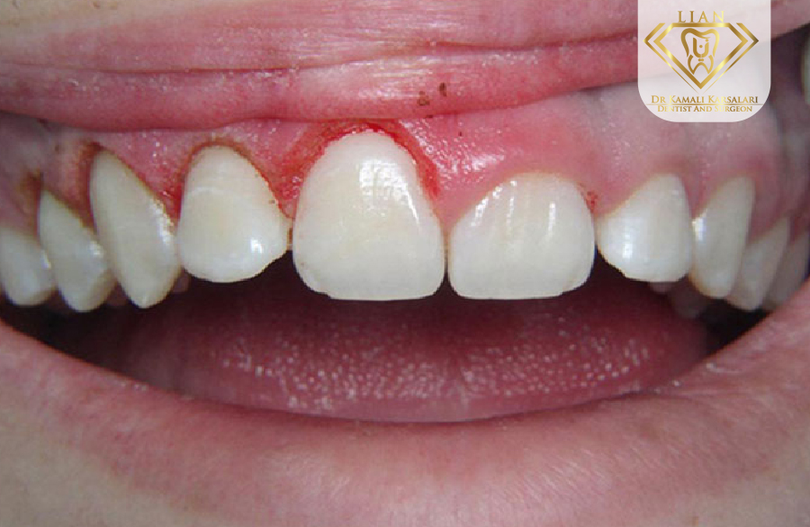
لیفت لثه یا کانتورینگ لثه یک روش تخصصی است که توسط دندانپزشک انجام میشود و هدف آن بازسازی یا اصلاح شکل خط لثه شما است. این فرآیند شامل برداشتن یا اصلاح بافتهای اضافی لثه اطراف دندانها میشود. در صورتی که دچار تحلیل لثه هستید، این روش میتواند برای بازگرداندن بافت لثه نیز استفاده شود. معمولاً کانتورینگ لثه یک روش اختیاری است که برای بهبود ظاهر لبخند، دندانها و لثهها انجام میشود. اما در برخی مواقع، ممکن است دندانپزشک به دلایل بهداشتی این روش را توصیه کند.
دلایل انجام لیفت لثه متفاوت است و میتواند هم به دلایل زیبایی و هم به دلایل پزشکی باشد. این روش به ویژه برای افرادی که از مشکلات زیبایی در لثهها یا لبخند خود رنج میبرند، کاربرد دارد. اگر دچار لبخند لثهای (نمایش بیش از حد لثه هنگام لبخند) هستید، خط لثه شما نامنظم است، یا به دلیل استفاده از بریسها رشد اضافی لثه دارید، این روش میتواند برای شما مفید باشد. علاوه بر این، در برخی موارد، لیفت لثه به عنوان یک درمان پزشکی برای کاهش التهاب لثهها انجام میشود.
انواع روش های لیفت لثه و کاربردهای آنها
در جراحی های لیفت لثه، روش های مختلفی وجود دارد که هر یک برای رفع مشکلات خاص لثه و بهبود ظاهر آن به کار میروند. در ادامه به معرفی رایجترین انواع این روشها و کاربردهای آنها میپردازیم:
-
لیفت لثه گمیجن
این روش برای اصلاح “لبخند لثهای” به کار میرود. در این فرآیند، لثه از بالای دندانها به مقدار کمی برداشته میشود تا تاج دندانها بیشتر نمایان شود. این روش مناسب افرادی است که لثههای بلند دارند و هنگام لبخند زدن بخش زیادی از لثه آنها قابل مشاهده است. -
لیفت لثه پیشرفته
در این روش، برای ایجاد خط لثهای صاف و یکنواخت از ابزار جراحی یا لیزر استفاده میشود. این تکنیک برای افرادی که خط لثه نامتقارن دارند یا لثههایشان در سطوح مختلف دندانها قرار گرفته است، مناسب است. -
لیفت لثه جایگزینی
این روش برای افرادی که لثههایشان تحلیل رفته، بهویژه به دلیل بیماریهای لثه یا دیگر عوامل، مناسب است. در این روش، بافت پیوندی یا مصنوعی برای جایگزینی بافت از دست رفته لثه استفاده میشود. -
لیفت لثه لیزری
در این روش، از لیزر برای برداشتن بافت اضافی لثه استفاده میشود. مزایای این روش شامل عدم درد و خونریزی، دوره نقاهت کوتاهتر و کاهش خطر عفونت است. این روش برای افرادی که به دنبال یک درمان بدون درد و خونریزی هستند، ایدهآل میباشد.
انتخاب روش مناسب برای لیفت لثه به عوامل مختلفی مانند میزان بافت لثهای که باید برداشته شود، بودجه و ترجیحات شخصی بستگی دارد. در برخی موارد، ممکن است از ترکیب دو یا چند روش برای دستیابی به نتایج بهتر استفاده شود.

نحوه انجام لیفت لثه
قبل از انجام لیفت لثه، دندانپزشک یک جلسه مشاورهای با بیمار ترتیب میدهد تا بیمار را از جزئیات درمان و عوارض احتمالی آن آگاه کند. این جلسه به بیمار کمک میکند تا درباره مراحل درمان و نتایج آن اطلاعات کافی داشته باشد.
عمل لیفت لثه معمولاً در یک جلسه و تحت بیحسی موضعی انجام میشود. پس از بیحسی، دندانپزشک با استفاده از تیغ جراحی یا لیزر، به اصلاح و شکلدهی لثهها میپردازد. بسیاری از دندانپزشکان به دلیل خاصیت بهبود سریعتر بافتها با لیزر، استفاده از آن را ترجیح میدهند. در این فرآیند، لثهها از استخوان جدا شده و سپس با دقت بالاتر از محل قبلی خود قرار میگیرند.
یکی از مزایای استفاده از لیزر در این روش این است که بیمار نیازی به استراحت طولانی مدت ندارد و به راحتی میتواند فعالیتهای روزمره خود را ادامه دهد. همچنین استفاده از لیزر باعث اختلال در خوردن و نوشیدن نمیشود. با این حال، بیمار باید از خوردن غذاهای سفت، تند و چسبنده پرهیز کند، از نخ دندان استفاده نکند و مسواک زدن را به آرامی انجام دهد. به علاوه، برای جلوگیری از عفونت لثهها، استفاده از دهانشویههای آنتیباکتریال توصیه میشود.
لیفت لثه برای چه کسانی مناسب است؟
لیفت لثه برای افرادی که شرایط خاصی دارند، مناسب است. افرادی که لثههای آنها تحلیل رفته است، میتوانند از این روش درمانی استفاده کنند. تحلیل لثه ممکن است مشکلاتی همچون تغییر ظاهر دندانها، حساس شدن لثهها و دندانها، پوسیدگی دندان و حتی از دست دادن دندانها را به همراه داشته باشد.
علاوه بر این، افرادی که به دلیل داشتن لبخند لثهای، در هنگام لبخند زدن لثههایشان بیشتر از دندانها نمایان میشود، از کاندیداهای اصلی لیفت لثه هستند. این افراد باید اطمینان حاصل کنند که ریشه دندانهایشان محکم است تا با برداشتن بخش اضافی لثه، ساختار دندان به خطر نیفتد.
افرادی که به بیماریهای لثه مبتلا هستند، اگر دندانپزشک توصیه کند، میتوانند از این روش استفاده کنند. لازم به ذکر است که همه بیماریهای لثه نیاز به جراحی لثه ندارند. کسانی که دچار دندان قروچه هستند نیز ممکن است به دلیل ساییده شدن دندانها و ایجاد لبخند لثهای، به لیفت لثه نیاز داشته باشند.
طبق آمار، خانمها بیشتر از آقایان به لیفت لثه نیاز دارند، زیرا ۱۴ درصد از خانمها و تنها ۷ درصد از آقایان دچار لبخند لثهای شدید هستند. افرادی که ۳ تا ۴ میلیمتر از لثههایشان هنگام لبخند زدن دیده میشود، بهطور معمول جزو کسانی هستند که نیاز به این درمان دارند.
مزایای لیفت لثه و طراحی لبخند
لیفت لثه مزایای متعددی دارد که نهتنها در زیبایی، بلکه در بهبود وضعیت بهداشتی دهان و لثه نیز مؤثر است. از جمله مزایای این روش میتوان به موارد زیر اشاره کرد:
- درمان بیماری های لثه: لیفت لثه میتواند به درمان مشکلاتی مانند کاهش کیسههای لثه و یا بلند کردن تاج دندانها کمک کند.
- نتیجه دائمی: یکی از مزیتهای بزرگ این روش این است که پس از انجام آن، لثهها به حالت اولیه خود بازنمیگردند و نتیجهای که حاصل میشود، دائمی خواهد بود.
- بهبود ظاهر دندانها: با استفاده از لیفت لثه، میتوان ظاهر دندانها را بهبود بخشید. برای مثال، میتوان دندانها را بلندتر یا کوتاهتر نشان داد.
- افزایش اعتماد به نفس: هنگامی که با استفاده از لیفت لثه، بافت اضافی لثه کاهش مییابد، فرد در هنگام لبخند زدن ظاهر بهتری پیدا میکند و اعتماد به نفس او افزایش مییابد.
- اصلاح لثه های نامتقارن: در لیفت لثه، لثههای نامتقارن اصلاح شده و به شکلی متقارن در میآیند.
- افزایش زیبایی لبخند: لثهها و دندانها تأثیر زیادی بر زیبایی فرد دارند. با کانتورینگ لثه میتوان لبخندی زیبا و جذابتر ایجاد کرد و از نمایان شدن بیش از حد لثهها جلوگیری نمود.
معایب لیفت لثه و طراحی لبخند
جراحی لیفت لثه با وجود مزایای زیاد، ممکن است معایبی نیز به همراه داشته باشد. یکی از مشکلات احتمالی، بازگشت بافت لثه به حالت اولیه است که در برخی موارد نادر اتفاق میافتد. همچنین، حساسیت به مواد بیحسی ممکن است در برخی افراد واکنش آلرژیک ایجاد کند، هرچند این اتفاق به ندرت رخ میدهد.
مانند هر جراحی دیگری، احتمال بروز عفونت پس از عمل نیز وجود دارد که برای پیشگیری از آن باید ناحیه جراحی به دقت تمیز نگه داشته شود و دستورالعملهای دندانپزشک بهطور کامل رعایت گردد. در نهایت، هزینه بالای این جراحی که معمولاً تحت پوشش بیمه قرار نمیگیرد، میتواند مانعی برای برخی افراد باشد و باعث شود که از انجام لیفت لثه منصرف شوند.
برای بهبودی سریع و راحت بعد از عمل لیفت لثه، باید مراقبتهای خاصی را رعایت کنید. اولین قدم مصرف داروها طبق دستور پزشک است. ممکن است پس از جراحی کمی درد داشته باشید، اما معمولاً این درد به حدی نیست که آزاردهنده باشد. برای کاهش ناراحتی، استفاده از مسکنهای بدون نسخه مانند استامینوفن یا ایبوپروفن پیشنهاد میشود. همچنین، پزشک شما ممکن است آنتیبیوتیکهایی برای پیشگیری از عفونت تجویز کند.
در دوران نقاهت، باید از ورزشهای شدید یا بلند کردن اجسام سنگین پرهیز کنید تا از افزایش خونریزی، تورم و درد جلوگیری شود. به همین دلیل، برای پنج روز اول از رفتن به باشگاه خودداری کنید و پس از آن به آرامی فعالیتهای خود را از سر بگیرید. تمیز نگه داشتن ناحیه جراحی نیز بسیار مهم است، زیرا این کار باعث کاهش باکتریها در دهان و تسریع روند بهبودی میشود.
پزشک شما راهنمایی های دقیقی در خصوص نحوه مسواک زدن و استفاده از نخ دندان خواهد داد و ممکن است استفاده از دهانشویه ضدباکتری را توصیه کند. علاوه بر این، باید از غذاهای نرم مانند تخممرغ، ماست، پاستا، سبزیجات پخته و اسموتیها در چند روز اول استفاده کنید و از خوردن غذاهای سخت، ترد یا تند برای حدود یک هفته خودداری کنید.
بهترین متخصص لیفت لثه در شهریار تهران
اگر به دنبال بهترین متخصص لیفت لثه در شهریار تهران هستید، کلینیک دندانپزشکی لیان با تیم حرفه ای و متخصص در این زمینه میتواند گزینه مناسبی برای شما باشد. این کلینیک با بهرهگیری از جدیدترین تکنیکها و تجهیزات، خدمات لیفت لثه را به صورت تخصصی و با توجه به نیازهای فردی هر بیمار ارائه میدهد. درمانهای صورت گرفته در کلینیک دندانپزشکی لیان به شما کمک میکنند تا لبخند زیبا و طبیعیتری داشته باشید.
کلینیک دندانپزشکی لیان با تجربه فراوان در انجام جراحیهای زیبایی لثه، همچون لیفت لثه و کانتورینگ، شرایطی را فراهم کرده که بیماران در یک محیط آرام و بهداشتی از بهترین خدمات برخوردار شوند. این کلینیک همچنین برای افرادی که مشکلاتی مانند لبخند لثهای، تحلیل لثه و نامتقارنی خط لثه دارند، درمانهای دقیق و مؤثری را ارائه میکند. با انتخاب کلینیک دندانپزشکی لیان، میتوانید از نتایج ماندگار و رضایتبخشی بهرهمند شوید.
نکته نهایی در مورد لیفت لثه و طراحی لبخند
لیفت لثه یکی از روشهای مؤثر برای بهبود ظاهر لبخند و افزایش جذابیت چهره است. این روش به ویژه برای افرادی که دچار لبخند لثهای یا عدم تناسب در خط لثه هستند، کاربرد دارد. با اصلاح فرم لثهها، دندانها بیشتر نمایان شده و هماهنگی بهتری بین اجزای صورت ایجاد میشود. همچنین، استفاده از تکنیکهای مدرن مانند لیزر، این روش را کمتهاجمیتر و با دوره نقاهت کوتاهتری همراه کرده است.
در کنار لیفت لثه، طراحی لبخند نیز نقش مهمی در ایجاد چهرهای زیباتر و متناسبتر دارد. ترکیب این دو روش، یعنی اصلاح لثه و تغییرات لازم در فرم و رنگ دندانها، میتواند نتایج چشمگیری داشته باشد. انتخاب یک متخصص مجرب برای انجام این فرآیند بسیار اهمیت دارد، زیرا طراحی لبخند باید متناسب با ویژگیهای صورت هر فرد انجام شود. با یک تصمیم درست، میتوان به لبخندی طبیعی، متقارن و جذاب دست یافت که تأثیر مثبتی بر اعتمادبهنفس فرد خواهد داشت.
